Răng sứ thẩm mỹ là giải pháp được nhiều người lựa chọn để khắc phục tình trạng răng vỡ, mẻ, thưa, hô, móm nhẹ, răng ố vàng, nhiễm màu kháng sinh… Chi phí làm răng sứ tại các nha khoa uy tín không hề rẻ, nên nhiều địa chỉ đã cung cấp dịch vụ làm răng sứ giá rẻ khiến khách hàng băn khoăn, lo lắng. Vậy nên hay không nên làm răng sứ giá rẻ, mời bạn tham khảo bài viết sau.
Hỏi đáp: Có nên làm răng sứ giá rẻ không?
Răng sứ được chế tác rất công phu và tỉ mỉ. Vì thế, giá của răng sứ không hề rẻ, nhất là những loại răng toàn sứ được khách hàng yêu thích hiện nay.
Để thu hút khách hàng, có nhiều phòng khám nha đã hạ giá làm răng sứ xuống mức thấp, chênh lệch rất lớn với giá trung bình trên thị trường. Dù có nhiều loại răng sứ với nhiều mức giá khác nhau, nhưng giá các loại răng chất lượng sẽ không chênh lệch nhau quá nhiều. Những răng sứ quá rẻ so với mặt bằng chung trên thị trường đa phần là các loại răng sứ chất lượng kém.
Răng sứ kém chất lượng là răng không được đầu tư chế tác: khuôn răng sứ không đều đặn và tinh tế, hình dáng, kích thước và màu sắc răng không được trắng sáng tự nhiên.
Chất lượng sứ không tốt thì tuổi thọ răng không cao, dễ bị gãy, vỡ, gây mùi hôi, nhiễm màu... sau một thời gian sử dụng.
Răng sứ chế tác sơ sài sẽ gây: cộm, vướng, không khít sát với cùi răng, tạo ra khe hở, trở thành nơi trú ngụ của vi khuẩn, gây viêm nướu, sâu răng…
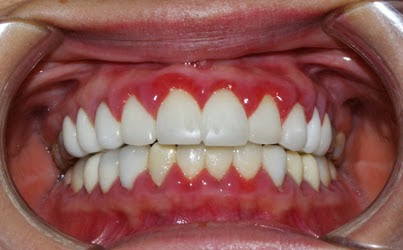
Trước khi chọn làm răng sứ giá rẻ, bạn cần hết sức lưu ý, vì nếu không cẩn thận, sẽ nhận những hậu quả đáng tiếc, nhẹ thì kích ứng nướu, viêm lợi,...Nặng thì tụt lợi, ê buốt răng, chết tủy, mòn răng, gãy thân răng…. Không chỉ gây mất thẩm mỹ mà còn ảnh hưởng nghiêm trọng đến khả năng nhai, nuốt và khó khăn trong việc khắc phục về sau.
Trên đây là thông tin giải đáp về vấn đề răng sứ giá rẻ bạn cần nắm rõ. Làm răng sứ không chỉ để đẹp mà còn cần đảm bảo được sức khỏe răng miệng lâu dài. Hi vọng thông tin bài viết sẽ hữu ích với bạn đọc.
>>> Xem thêm:


